Computertomographie (CT)
Mit der Computertomographie (CT) können innere Organe in feinen Schichten dargestellt werden. Die sogenannten Schichtaufnahmen werden mittels Röntgenstrahlen erstellt. Durch die Darstellung der Schichten ist es möglich, kleinste Veränderungen der Organe bereits frühzeitig in Größe und Ausdehnung festzustellen. Es können somit äußerst präzise Angaben über Art und Ausdehnung der vermuteten Krankheit gemacht werden.
Bei dieser Art der Diagnostik, die 1974 erstmals eingesetzt wurde und heute zu den unentbehrlichen Hilfsmitteln der Medizin gehört, entsteht eine ganz geringe Strahlungsbelastung. Die Untersuchung findet im Liegen statt. In der Radiologischen Gemeinschaftspraxis Lüdenscheid führen wir z. B. die sogenannte „Low-Dose CT“ durch. Unsere hochmodernen Geräte benötigen lediglich Bruchteile der Strahlendosis gegenüber älteren Geräten. (Foto: canon medicals systems)
NEU: Anmeldungsbögen Kardio-CT
Vielfältige Einsatzmöglichkeiten
Die Computertomographie wird neben Routineuntersuchungen häufig zur Beurteilung der Lunge und des Herzens (einschließlich der Herzkranzgefäße), der Organe des Bauches, der Blutgefäße und Knochen) eingesetzt. Sie hilft bei der Erkennung von Herzinfarkten, Kopfverletzungen, Bandscheibenvorfällen, Abszessen, Knochenbrüchen und vielen mehr.
Abhängig von der zu untersuchenden Köperregion muss ein Kontrastmittel (KM) eingegeben werden. Dies geschieht entweder über eine Vene im Arm oder bei Untersuchungen des Magen-Darm-Bereiches durch Einnahme des Kontrastmittels. Beides ist für den Patienten unproblematisch, da die KM auf natürlichem Wege wieder ausgeschieden werden.
AQUILION ONE™ / GENESIS EDITION – CT-Bildgebung in einer neuen Dimension
Seit September 2018 steht für unsere Patienten der Radiologie Sauerland der weltweit modernste dynamische Volumen Computertomograph / CT zur Verfügung. Der Aquilion ONE™ GENESIS von Canon Medical Systems optimiert das Wohlergehen des Patienten bei CT-Untersuchungen und bietet durch intelligente Untersuchungsprotokolle hervorragende Bildqualität bei geringer, jeweils genau auf den Patienten angepasster Dosis und Kontrastmittelmenge.
Der Aquilion ONE™ / GENESIS Edition ist ein neuer Volumen-CT-Scanner und Canons Flaggschiffmodell, welches die Entwicklung des konventionellen CT schlicht in den Schatten stellt. Intensive klinische Forschung und bahnbrechende technische Innovationen wurden zu einem Volumen-CT-System kombiniert, das eine bis dato unerreichte Bildqualität liefert und gleichzeitig der immer lauter werdenden Forderung nach weiterer signifikanter Dosisreduktion nachkommt.
Aufbauend auf mehr als 10 Jahren klinischer Erfahrung in der Volumen-CT stellt sich die GENESIS EDITION als gänzlich gewandeltes Modell einer neuen CT-Scanner-Generation vor, die auf ein Höchstmaß an Komfort, Qualität und Sicherheit in der bildgebenden Diagnostik sowie eine optimale Patientenversorgung ausgerichtet ist.
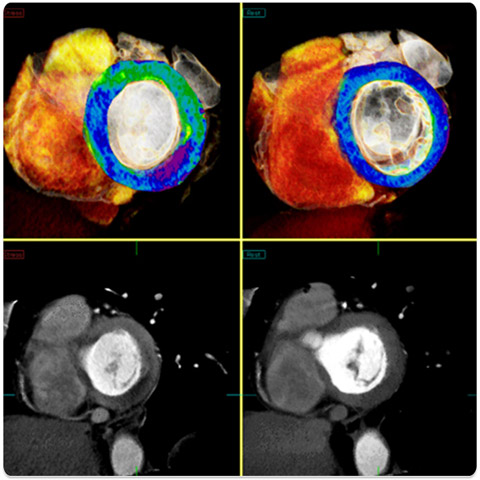
Koronar CTA mit AQUILION ONE™ - genaueste Herz- und Arterien-Aufnahmen
Unser neues CT AQUILION ONE™ / GENESIS EDITION ermöglicht die exakte Diagnose von Läsionen (Verletzung oder Störung der Funktion eines Organs oder Körperglieds), die mit herkömmlicher statischer Bildgebung nicht zu sehen sind. Insbesondere können Probleme des Herzens und der Herzarterien beim sogenannten Koronar-CTA (CT-Angiographie) sichtbar gemacht werden.
Dabei ergeben sich für den Patienten zahlreiche Vorteile:
- Die Darstellung des ganzen Herzens in einem einzigen zeitlich uniformen Volumen
- Genaue Diagnose: Das Koronar-CTA ermöglicht eine genaue Beurteilung der Gewebedurchblutung des Herzmuskels. Zudem kann präzise ermittelt werden, ob eine mangelnde Versorgung von Koronararterien vorliegt.
- Ultrageringe Dosis: Alle erforderlichen Perfusionsdaten können mit nur einem Scan erfasst werden.
Der Aquilion ONE führt Koronarangiographie mit einer prospektiv ausgelösten Spiraltechnik durch. Dadurch wird die Gleichmäßigkeit in Richtung der Z-Achse im Vergleich zu Verfahren mit schrittweisen Aufnahmen gewährleistet.
SURECardio Prospective enthält die patentierte Software von Canon zur Ablehnung bei Herzrhythmusstörungen. Dabei wird unregelmäßiger Herzschlag erkannt und die Scanexpositon entsprechend gesteuert, um die diagnostische Untersuchung jedes Mal zu gewährleisten und die Wiederholung von Untersuchungen zu minimieren.
AQUILION ONE™ / GENESIS EDITION - Viele Vorteile für den Patienten
- Sichere Bildgebung und klarere Ergebnisse: Mit einer bis zu 40% geringeren Strahlendosis für den Patienten definiert Canon den Standard der Detektoreffizienz neu.
- Richtige Balance von Bildqualität und Dosis für alle Patienten: Die GENSIS Edition ermöglicht bei Routinebildgebungsverfahren neue Dimensionen in puncto Bildgenauigkeit und Niedrigkontrastauflösung.
- FIRST von Canon ist eine Technologie zur modellbasierten iterativen Rekonstruktion (MBIR) und vereinfacht den Arbeitsablauf bei der MBIR. Es senkt die Exposition des Patienten bei klinischen Routine-Untersuchungen automatisch um bis zu 82 %.
- Workflow Optimieren: Der Aquilion ONE™ GENESIS vereinfacht komplexe Untersuchungen, reduziert die Dosis und verbessert die diagnostische Genauigkeit und Reproduzierbarkeit.
Bitte beachten!
Bei Untersuchungen mit Kontrastmittel müssen Patienten mindestens zwei Stunden vorher nüchtern bleiben.
